Blogs

What Are Gum Diseases? Causes, Symptoms, and Treatment Options
What Are Gum Diseases? Gum diseases are common problems that affect the tissues around your teeth. These tissues help keep your teeth in place. When

Persistent Bad Breath? Understanding Halitosis & Its Solutions
Introduction Halitosis, also known as bad breath, is a common dental problem. Many people experience it at some point in their lives. In fact, studies

How Dental Implants Restore Your Smile and Boost Your Confidence
Introduction Dental implants are a modern way to replace missing teeth. They can help restore your smile and improve your life. Many people choose dental

The Complete Guide to Full Mouth Rehabilitation
What Is Full Mouth Rehabilitation? Full mouth rehabilitation is a dental treatment that restores all teeth in your mouth. It is also called full mouth

How Regular Dental Visits Keep Your Smile Healthy
Many people wonder why you should prioritize regular dental check-ups. Good oral health is important for your overall well-being. Regular dental visits help prevent problems

How Root Canal Therapy Works and Why It’s Important
Introduction Root canal treatment is a common dental procedure that can save your natural tooth. If you have dental pain or an infection, your dentist

Understanding Space Maintainers in Dentistry: Purpose, Types, and Care
What Are Space Maintainers? Space maintainers are dental devices that help keep the space open when a child loses a baby tooth early. Often, children

Dental Veneers: What You Need to Know
Dental veneers are thin, custom-made shells that cover the front of your teeth. Many people choose dental veneers to improve their smile. These shells can

Dental Implants: What You Need to Know
What Are Dental Implants? Dental implants are artificial tooth roots. Dentists place them into your jawbone to support replacement teeth. Usually, they are made from

All About Metal Braces: Benefits, Process, Care, and What to Expect
What Are Metal Braces? Metal braces are a common type of orthodontic treatment. They use small metal brackets and wires to straighten teeth. Usually, dentists

Wisdom Tooth Infection: Warning Signs and Treatment
What Is a Wisdom Tooth Infection? Wisdom tooth infection is a common dental problem. It happens when bacteria enter the area around a wisdom tooth.

Why Do Mouth Ulcers (Canker Sores) Keep Coming Back? Causes, Prevention, and Treatment
What Are Mouth Ulcers (Canker Sores)? Mouth ulcers, also called canker sores, are small, painful sores inside the mouth. Usually, they appear on the inner

Teeth Staining from Dental Fluorosis: Causes, Symptoms, and Prevention
What is Dental Fluorosis? Dental fluorosis is a condition that affects the teeth. It happens when children get too much fluoride while their teeth are

Cleft Lip and Palate Dental Care: Essential Steps Before and After Surgery
What is Cleft Lip and Palate? A cleft lip is a split or opening in the upper lip. A cleft palate is a gap in

Understanding Malocclusion: Causes, Symptoms, Treatment, and Benefits
Malocclusion is a common dental condition that affects millions of people worldwide. It refers to the misalignment of teeth or the improper positioning of the

Mastering Malocclusion Management: Strategies for a Confident Smile
Malocclusion, the misalignment of teeth or improper positioning of the upper and lower jaws, can be a source of discomfort and self-consciousness. However, with effective

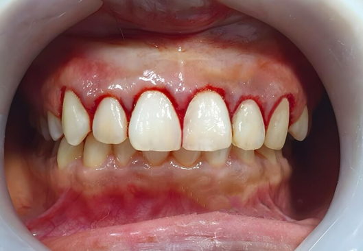
Smile Correction FAQs: Your Essential Guide to Transformative Smile Makeovers
Curious about transforming your smile? Here are answers to some common questions about smile correction, helping you navigate the exciting journey toward a confident and

Understanding Wisdom Tooth Extraction: Procedure, Recovery, and Care
Wisdom tooth extraction, a common dental procedure many individuals undergo to alleviate pain, prevent complications, and maintain oral health. These third molars, also known as

Rediscover Your Perfect Smile with Dental Bridges
Are you tired of the gaps in your smile that make you self-conscious? Imagine a world where you can confidently flaunt a complete, dazzling smile

Smile with Confidence: The Benefits of Dentures
Dentures are a popular and effective solution for people who have lost their natural teeth. They are removable prosthetic devices that are designed to replace

All About Dentures
Why are Dentures Used? Dentures are used to replace missing teeth and restore your smile and ability to eat and speak properly. They provide support

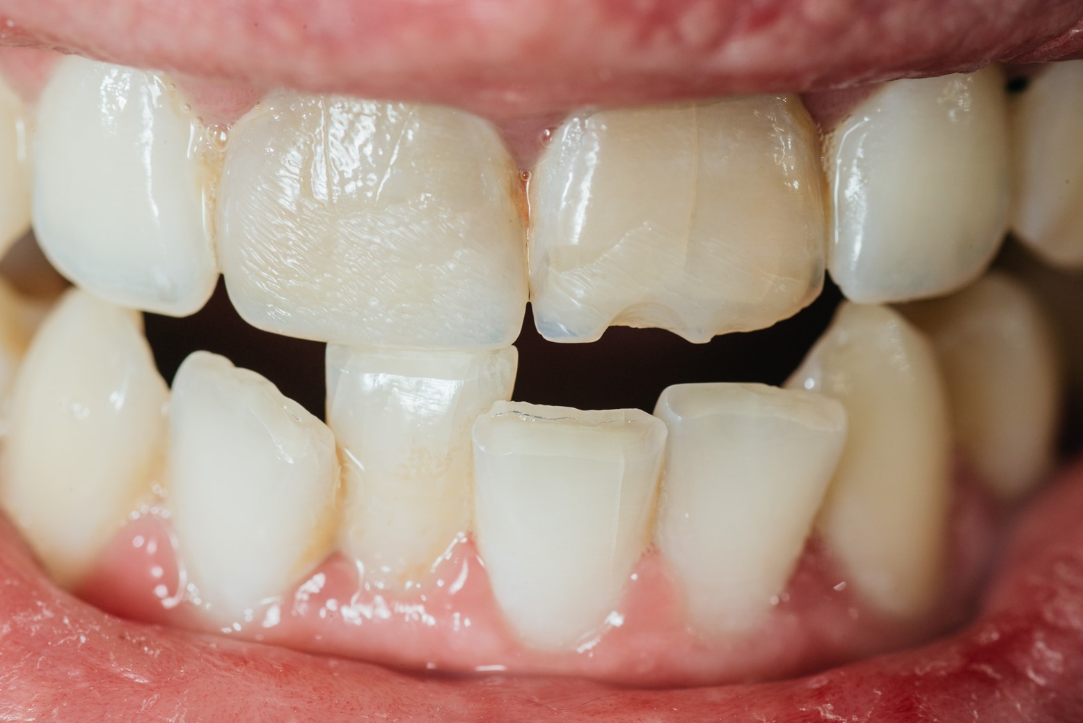
Don’t Ignore a Cracked Tooth: Effective Treatment Options
Cracked teeth are a common dental problem that should never be ignored. If left untreated, a cracked tooth can lead to serious dental issues such

Metal Braces: A Comprehensive Guide to Straighten Your Smile
Metal braces are a tried-and-true orthodontic treatment option that has been used for decades to correct misaligned teeth and achieve a straighter smile. They consist

A Guide to Teeth Bleaching: What You Need to Know
Teeth bleaching, commonly known as teeth whitening, is one of the most popular cosmetic dental treatments available today. It’s a quick and effective way to

Frequently Asked Questions (FAQs) on TMJ
Q1: What is TMJ? A1: Temporomandibular joint (TMJ) is the joint that connects your jawbone to your skull. TMJ can also refer to temporomandibular joint

Myths and Facts on TMJ
Myth 1: TMJ only affects older adults. Fact: TMJ can affect individuals of all ages, including children, teenagers, and adults. Age is not a determining

Embrace the Change: How Metal Braces Can Boost Your Confidence?
Do you find yourself hiding your smile because of misaligned or crooked teeth? Metal braces may be the answer you have been looking for. Not

What to Expect During a Dental Crown Procedure?
Dental crowns are tooth-shaped caps that are placed over damaged or decayed teeth to restore their shape, size, and strength. If your dentist recommends a

Rediscover Your Perfect Smile with Dental Bridges!
Are you tired of the gaps in your smile that make you self-conscious? Imagine a world where you can confidently flaunt a complete, dazzling smile

Dental Crowns: Everything You Need to Know
A dental crown is a tooth-shaped cap that is placed over a damaged or decayed tooth to restore its shape, size, and strength. It is

Dental Implants: A Game-Changer for Your Smile
In the world of modern dentistry, dental implants have brought a remarkable solution for people who want to restore their smiles, regain confidence, and improve

Eating with Invisible Aligners: What You Can and Can’t Eat
Invisible aligners, like Invisalign, are a popular and discreet option for straightening your teeth. One of the main advantages of these aligners is that they

Transforming Your Smile: The Benefits of Digital Smile Designing
A radiant smile is often considered one of the most attractive features a person can possess. It has the power to boost self-confidence, enhance social

What to know About Root Canal Treatment?
A dental procedure to repair and save a tooth that is infected or badly decayed. During a root canal procedure, the dentist removes the infected

What are Dental Bridges?
Dental bridges are a type of dental restoration used to replace one or more missing teeth. They are typically made up of one or more

Preventing Periodontal Disease: Tips for a Healthy Mouth
Periodontal disease, also known as gum disease, is a common condition that affects the gums and tissues surrounding the teeth. If left untreated, it can

Dental Implants: A Game-Changer for Your Smile
In the world of modern dentistry, dental implants have brought a remarkable solution for people who want to restore their smiles, regain confidence, and improve

All About Tooth Decays or Dental Cavities (Dental Caries)
Dental Caries is an infectious disease caused by microorganisms or bacteria which destroy the tooth structure leading to holes in the teeth. Dental caries, also