Don’t Ignore a Cracked Tooth: Effective Treatment Options

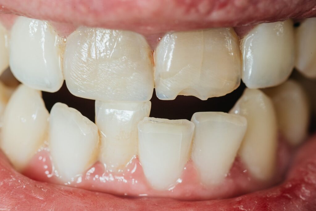
Cracked teeth are a common dental problem that should never be ignored. If left untreated, a cracked tooth can lead to serious dental issues such as tooth decay, infection, and tooth loss. Here are some effective treatment options for a cracked tooth.

  1. Dental Bonding Dental bonding is an effective treatment for minor cracks or chips in a tooth. In this procedure, the dentist applies a tooth-colored resin to the affected tooth and molds it to the desired shape. The resin is then hardened with a special light, and the tooth is polished to give it a natural appearance.
  2. Dental Crown A dental crown is a cap that is placed over the affected tooth to protect it from further damage. It is a suitable treatment option for a cracked tooth that is too damaged for dental bonding. A dental crown is custom-made to fit the patient’s tooth and can be made of various materials such as porcelain, metal, or ceramic.
  3. Root Canal Treatment If a cracked tooth has damaged the pulp (the soft tissue inside the tooth), a root canal treatment may be necessary. During this procedure, the dentist removes the damaged pulp and cleans the inside of the tooth. The tooth is then sealed with a filling material and covered with a dental crown to protect it from further damage.
  4. Tooth Extraction In some cases, a cracked tooth may be beyond repair, and tooth extraction may be necessary. This is usually the last resort when other treatment options are not feasible. The dentist will remove the damaged tooth and provide the patient with options for tooth replacement.

Prevention Tips While it is not always possible to prevent a cracked tooth, there are steps you can take to minimize your risk. Here are some prevention tips:

  • Avoid biting on hard objects such as ice, hard candy, or popcorn kernels.
  • Wear a mouthguard if you play sports.
  • Visit your dentist regularly for checkups and cleanings.
  • Practice good oral hygiene habits such as brushing twice a day and flossing daily.

Conclusion A cracked tooth can be a painful and serious dental issue. It is important to seek prompt treatment from a qualified dentist to prevent further damage to your teeth and gums. By following prevention tips and seeking timely treatment, you can maintain good oral health and avoid dental complications.